Susan Ash was basking in the glow of new motherhood when strange flashes of light began invading her vision.

The then-24-year-old brushed it off, blaming hormonal changes from pregnancy and the fact she’d been a lifelong sufferer of migraines.
She continued to dismiss these symptoms as mere side effects of being pregnant or simply adjusting to life with an infant.
But three months after giving birth, she collapsed at a soccer game and suffered a seizure.
The incident was alarming for both Ms Ash and her family members watching from the sidelines.
They immediately rushed her to the hospital where doctors then made a devastating discovery: she had a brain tumor.
She was told the tumor was slow-growing and had likely been there for years, possibly since she was born.

But its growth may have been sped up by the hormone fluctuations caused by pregnancy, triggering complications such as seizures.
The diagnosis came as a shock to Ms Ash, who felt unprepared to face such serious medical news while also dealing with the demands of new motherhood.
Ms Ash, from New Hampshire, said: ‘I was paralyzed with fear.
I cried hysterically while holding my three-and-a-half-month-old baby, praying she wouldn’t have to grow up without a mom.’
Susan Ash, now 25, pictured above with daughter Julia who was born in July 2024.
Shortly after the birth, Ms Ash was diagnosed with a brain tumor.

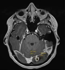
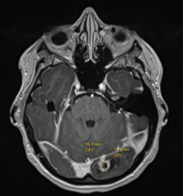
The above is a picture of the scan of Ms Ash’ brain, with the tumor shown by the yellow lines.
She added: ‘In retrospect, as a new parent I wasn’t connecting the dots and truthfully wasn not concerned about this — I assumed it was stress.
But when I went back to work seven weeks postpartum, the duration and frequency of these episodes [headaches and blurred vision] was increasing.’
Doctors found the tumor on her left occipital lobe — the part of the brain at the back of the head responsible for processing visual information from the right eye.
Fortunately, the mass was not cancerous, but its location explained the strange flashes Ms Ash had been experiencing.

Experts say that during pregnancy, surging hormone levels — particularly estrogen and progesterone — can stimulate the growth of brain tumors.
These hormones can bind to receptors on the tumor itself, potentially accelerating its development, especially if it had been silently growing for years.
Ms.
Ash gave birth to her daughter, Julia, in July 2024.
Not long after, she began experiencing vision changes and persistent migraines.
Concerned but not alarmed, she visited her doctor, who referred her to a neurologist.
But when the symptoms seemed to ease after she began taking magnesium supplements, she canceled the appointment.

Then in October, while playing soccer with her family, Ms Ash suddenly collapsed mid-game.
She had suffered a grand mal seizure — a severe type of seizure that affects the entire brain, causing muscle stiffness and loss of consciousness.
The sudden onset was terrifying for everyone involved, and it prompted an immediate trip to the hospital.
She was rushed to hospital, where imaging scans revealed a marble-sized tumor pressing on her brain.
It was also causing irritation within the skull, leading to swelling, compression and intense headaches.
In an exclusive interview with local news, Ms Ash shared intimate details of her harrowing journey with a brain tumor that has quietly grown over years, often disguised as common ailments.
Ms Ash’s story serves as a poignant reminder of the importance of early detection and prompt medical intervention, especially when faced with seemingly unrelated symptoms like migraines.
Doctors now speculate that the migraines and visual disturbances Ms Ash experienced since childhood could have been early indicators of her tumor.
This revelation underscores the critical need for individuals to be vigilant about persistent health issues and to seek second opinions if necessary.
The turning point in Ms Ash’s diagnosis came during a family soccer game when she suffered a seizure, an event that precipitated her immediate hospitalization.
Medical scans then revealed a significant tumor within her brain.
With her partner and daughter Julia by her side, Ms Ash faced the daunting decision of either leaving the tumor as is or opting for surgery that could potentially compromise her vision in one eye.
In a moment of clarity and courage, Ms Ash chose to undergo surgery in the hope of eliminating any future risks associated with her condition.
She states, “Although there is a chance I will lose the vision in my right eye, it is a small price to pay to be alive.” Her decision reflects not only her commitment to personal health but also her resilience and determination.
At 25 years old, Ms Ash’s diagnosis has had far-reaching consequences.
She now struggles with driving due to visual impairments and has been forced to take time off work because of the seizures, adding financial stress on top of emotional turmoil.
Despite these challenges, she is actively using her platform to connect with others who are battling similar health issues, advocating for awareness and support.
According to medical experts, approximately 90,000 Americans are diagnosed with brain tumors each year, although they typically affect individuals over the age of 40.
However, cases like Ms Ash’s highlight that early symptoms such as migraines, nausea, and visual problems can be indicative of a more serious underlying condition.
Early detection is crucial to managing and treating these conditions effectively.
Ms Ash emphasizes the range of emotions experienced by those grappling with life-changing diagnoses: fear, anxiety, sadness, anger, grief, gratitude, positivity, happiness in small moments, pride.
By sharing her journey online, she aims to create a supportive community for individuals navigating similar paths, ensuring no one feels isolated in their struggle.
The story of Ms Ash is not just about overcoming personal adversity but also about the broader implications for public health and awareness.
Her advocacy serves as an urgent call for everyone to pay attention to unusual or persistent symptoms that could be early signs of serious conditions like brain tumors.














