In a revelation that has sent ripples through the scientific community, doctors in China have identified what may be the world’s youngest case of Alzheimer’s disease—a 19-year-old boy whose condition defies conventional understanding.

The case, shrouded in medical secrecy due to the patient’s anonymity, has left researchers grappling with a profound question: how could a teenager develop a disease typically associated with the elderly, and without any known genetic predisposition?
The answer, they admit, remains elusive.
The unnamed patient, a boy whose identity is protected by medical confidentiality, first began showing signs of cognitive decline at age 17.
His symptoms were subtle at first: forgetfulness about daily activities, frequent misplacement of personal items, and an inability to recall events from the previous day.

These early signs, however, were not immediately alarming.
It was only when his academic performance began to deteriorate that his family sought medical intervention.
By the time he was formally diagnosed, the boy had already failed to complete high school, though he retained the ability to live independently, a detail that underscores the complexity of his condition.
The journey to diagnosis was arduous.
For nearly a year, the boy was under the care of a specialized memory clinic, where clinicians conducted a battery of cognitive tests.
The results were staggering.
His overall memory score was 82% lower than that of his peers, while his immediate memory score was 87% lower.

These figures, stark and unambiguous, pointed to a level of cognitive impairment typically seen in much older patients.
Yet, the boy’s condition was not merely a matter of statistical oddity—it was a medical enigma.
In 2022, advanced brain scans revealed a chilling detail: significant shrinkage in the hippocampus, a region of the brain critical to memory formation and one of the first areas targeted by Alzheimer’s.
This finding, corroborated by the detection of abnormal levels of amyloid and tau proteins in his cerebrospinal fluid, provided further evidence of the disease’s presence.
These proteins, long associated with the neurodegenerative process of Alzheimer’s, were present in concentrations that would be expected in patients decades older than the boy.

What baffled researchers most was the absence of any genetic mutations typically linked to early-onset Alzheimer’s.
The boy’s DNA showed no abnormalities in genes such as PSEN1, which are responsible for the majority of familial Alzheimer’s cases.
This lack of genetic predisposition, combined with no family history of dementia, has left scientists scrambling to identify alternative explanations.
Could this be a previously undocumented variant of the disease?
Or perhaps an environmental trigger that has remained undetected?
The case, described in a recent publication in the *Journal of Alzheimer’s Disease*, has been labeled as ‘sporadic’ by researchers.
This classification, while not uncommon in medical literature, carries significant weight in the context of Alzheimer’s research.
Sporadic cases—those without clear genetic or familial links—are rare, especially at such a young age.
The boy’s condition, however, does not fit neatly into any existing framework.
His symptoms, though severe, did not align with the typical progression of the disease, further complicating the puzzle.
The boy’s initial cognitive assessments were deceptively normal.
On the Montreal Cognitive Assessment (MoCA), he scored 28 out of 30, well above the threshold for normalcy.
His Mini-Mental State Examination (MMSE) score was 29 out of 30, again within the normal range.
These results, taken in isolation, would have suggested a healthy young man.
But within a year, his scores had deteriorated, particularly in the memory section of the MoCA.
This rapid decline, coupled with the findings from brain scans and fluid analysis, has forced experts to confront the possibility that the disease may be manifesting in ways previously unobserved.
For the researchers involved, the case is both a challenge and an opportunity.
Dr.
Li Wei, a lead investigator from Capital Medical University, emphasized that the patient’s condition ‘opens new avenues for exploration.’ The absence of genetic markers suggests that environmental factors, or perhaps undiscovered genetic mechanisms, could be at play.
This hypothesis, while speculative, has the potential to reshape the field of Alzheimer’s research, particularly in the study of sporadic cases.
The boy’s story, though tragic, has become a focal point for scientists seeking to unravel the mysteries of a disease that affects millions.
His case underscores the limitations of current diagnostic criteria and the need for more nuanced approaches to understanding Alzheimer’s.
As researchers continue their investigations, the world waits for answers—answers that may not only illuminate the path to treating this young patient but also shed light on the broader, often hidden, complexities of the disease.
For now, the boy remains a symbol of both the fragility of memory and the resilience of science.
His case, though rare, serves as a stark reminder that Alzheimer’s is not merely a condition of old age.
It is a disease that can strike at any time, in any form, and with consequences that defy prediction.
As the medical community grapples with this unprecedented case, one thing is clear: the search for answers is far from over.
The patient’s memory performance painted a stark picture of cognitive decline.
In a series of immediate recall trials, he managed to remember only 37 words—a figure far below the expected 56 for someone of his age and educational background.
When asked to recall the same words after a three-minute delay, he could only retrieve five, a number that should have been roughly 13.
By the 30-minute mark, his recall had plummeted to a mere two words, where the normal benchmark remained at 13.
These results were not just concerning; they were alarming, signaling a profound deficit that placed him in the bottom 82 to 87 percent of his demographic.
Initial assessments had failed to detect the severity of the impairment, leaving doctors puzzled and the patient increasingly disoriented.
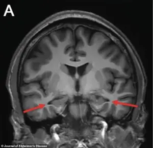
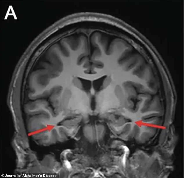
An MRI of the brain revealed a chilling revelation: the hippocampus, the region responsible for memory formation, was visibly shrinking.
Other scans confirmed reduced activity in the parietal and temporal cortices, areas critical for memory and cognitive processing.
The images, marked with arrows pointing to the affected regions, offered a stark visual representation of the brain’s deterioration.
These findings were a red flag, suggesting a progressive and potentially irreversible condition.
Yet, the story did not end there.
When doctors turned to specialized PET scans designed to detect the hallmark proteins of Alzheimer’s—amyloid and tau—the results were inconclusive.
The scans showed no obvious buildup of these proteins, leaving the medical team with more questions than answers.
The next step was a lumbar puncture, a procedure that extracted and analyzed the patient’s cerebrospinal fluid.
Here, the results took a dramatic turn.
Elevated levels of tau proteins were detected, along with an abnormal ratio of amyloid proteins.
These findings were significant.
While PET scans are powerful tools, they have limitations, particularly in the earliest stages of Alzheimer’s.
They can miss plaques in a subset of patients with confirmed diagnoses.
In contrast, spinal fluid tests often prove more sensitive, offering a clearer picture of the disease’s presence even before it becomes visible on imaging.
This duality of diagnostic tools underscored the complexity of the condition and the need for a multifaceted approach to detection.
A battery of additional tests was conducted to rule out alternative causes of the patient’s memory decline.
Infections, autoimmune disorders, toxins, and metabolic diseases were all systematically excluded.
Genetic testing revealed no mutations in the PSEN1, PSEN2, or APP genes, which are typically associated with early-onset Alzheimer’s.
Even the APOE gene, known to be a major risk factor for the disease, was in its most common, neutral form.
The patient carried two copies of the APOE ε3 allele, which is associated with a lower risk of developing Alzheimer’s.
These findings suggested that the patient’s condition was not the result of a known genetic predisposition, but rather something else—something still eluding the medical community.
Alzheimer’s disease is typically associated with the elderly, but recent studies have revealed a troubling trend: the incidence of early-onset dementia is on the rise.
According to a report from Blue Cross Blue Shield, diagnoses among commercially insured adults aged 30 to 64 surged by 200 percent between 2013 and 2017.
This sharp increase has sparked intense debate among researchers and clinicians.
Some argue that it reflects improved detection and awareness, rather than a true explosion in cases.
Historically, cognitive symptoms in younger adults were often misattributed to stress, burnout, or other less severe conditions.
As a result, many cases of early-onset dementia likely went undiagnosed for years.
The rise in early-onset dementia has profound implications, particularly for women, who account for 58 percent of cases.
Jana Nelson, a former businesswoman, saw her life unravel in her late 40s when she began experiencing severe mood swings, balance issues, and cognitive decline.
After extensive testing, she received the devastating diagnosis of early-onset dementia at age 50.
Her story is not unique.
Rebecca, a 48-year-old single mother, faced a similar fate.
After years of memory lapses and a rapid decline, she chose to end her life through Canada’s medical assistance in dying program, seeking to reclaim control before the disease consumed her entirely.
These cases highlight the human toll of the condition and the urgent need for better understanding and treatment.
As the average age of diagnosis drops to just 49, researchers are increasingly scrutinizing modern lifestyle factors that may contribute to the rising risk of dementia among younger people.
Poor diet, physical inactivity, excessive screen time, and obesity are now under scientific examination as potential drivers of cognitive decline.
Studies are exploring whether these interconnected factors trigger inflammation, vascular damage, and metabolic dysfunction—conditions that may accelerate brain aging and cognitive decline long before the onset of old age.
While the connection between lifestyle and dementia is still being unraveled, the evidence suggests that early intervention may hold the key to mitigating the risk of early-onset dementia in the years to come.













