A Father's Jacket and the Illness That Changed Heather Von St James' Life
Fatigue, weight loss, and fevers—these were the symptoms Heather Von St James initially dismissed as the toll of motherhood. At 36, she was juggling the demands of running a hair salon in Minnesota, caring for her newborn daughter, and tending to her pet rabbits. But there was one constant in her life: her father's old work coat. A faded blue bomber jacket, stained with decades of construction dust, had been a source of comfort since childhood. 'It smelled like him,' she recalled. 'I just loved wearing it.' She never imagined that this cherished garment would become the catalyst for a life-threatening illness.
Her symptoms worsened in December 2005, months after giving birth. She lost weight rapidly—about five pounds per week—and often felt breathless even when sitting still. Her husband, a supportive partner, reassured her it was postpartum recovery. But when a family member saw a photo of her curled on the couch with her baby, they called her in a panic. 'She said I looked dead in the photo,' Von St James remembered. 'That's when I knew something was seriously wrong.'
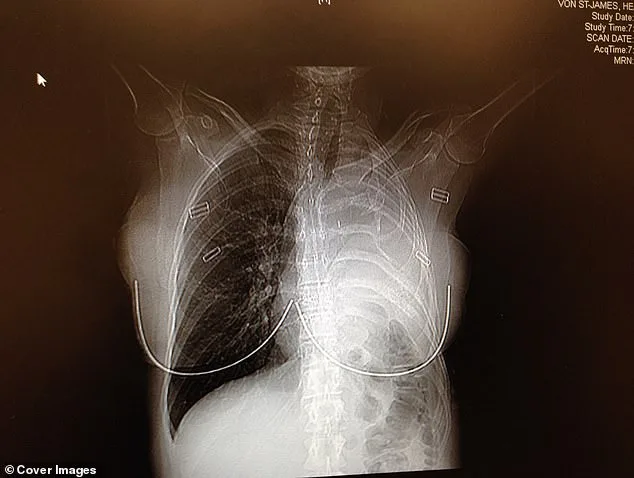
A CT scan revealed a tumor on the pleura, the thin lining of the lungs and chest. The diagnosis: malignant pleural mesothelioma, a rare and aggressive cancer. 'I didn't know what mesothelioma was,' she said. 'The doctor asked if I or anyone in my family had worked with asbestos. My husband looked at me, then said, "Oh this is bad."'

Mesothelioma is typically linked to occupational exposure, but Von St James's case was different. Her father, a construction worker, had been exposed to asbestos dust for decades. 'I used to hug him after work,' she said. 'He'd be covered in dust, and I'd just hold him.' The fibers clung to his clothes, and over time, they settled into her coat—a silent killer.
The disease is insidious. Asbestos, once a staple in building materials, was banned in the U.S. in 1989, but its legacy lingers. 'The latency period for mesothelioma is 20 to 50 years,' explained Dr. Emily Carter, an oncologist specializing in rare cancers. 'That means people exposed in their 20s might not show symptoms until their 60s.' For Von St James, the exposure had been decades earlier, hidden in plain sight.
Her prognosis was grim: 15 months at most without treatment. 'It felt like a death sentence,' she said. 'How could this be happening to me?' But she refused to surrender. She underwent surgery, chemotherapy, and radiation—a grueling process that left her weakened but determined. 'I had to fight for every breath,' she admitted.

Mesothelioma is often called the 'widow's disease' because it disproportionately affects spouses and family members of workers. The CDC reports a 25% increase in female mesothelioma deaths from 1999 to 2020, with secondary exposure—like washing contaminated clothes or hugging loved ones—being a common pathway. 'This isn't just a man's disease anymore,' said Dr. Carter. 'We're seeing more women, more young people, and more cases linked to everyday items like clothing and home decor.'
Von St James's story has become a rallying cry for awareness. She now speaks at conferences, urging people to check their homes for asbestos and to avoid disturbing old materials. 'If I hadn't worn that coat, maybe I'd still be here,' she said. 'But I'm not giving up. I'm alive, and I'm fighting.'
Her journey raises a chilling question: How many other families are unknowingly living with asbestos in their homes, their workplaces, or even their children's toys? Experts warn that while asbestos use has declined, it's still present in buildings constructed before the 1980s. 'People need to be vigilant,' said Dr. Carter. 'Mesothelioma is preventable, but only if we act now.'

Von St James's resilience is a testament to human spirit, but her story also serves as a stark reminder of the dangers lurking in the past. As she looks to the future, she hopes her experience will save others from the same fate. 'I want people to know that even the smallest actions—like wearing a loved one's coat—can have life-altering consequences,' she said. 'But with awareness, we can change the story.
Her father is pictured in the back wearing the coat that was laced with asbestos fibers. The image is haunting—a relic of a time when the dangers of asbestos were not fully understood. In 2024, the EPA finally banned chrysotile asbestos, the only type still imported, but the rule faces legal challenges, and phase-outs for some industrial uses extend to 2037. These delays leave families like Von St James's in limbo, grappling with the legacy of a material that once seemed indispensable. "There was no question that I was going to die," she said, recalling the moment her doctor delivered her mesothelioma diagnosis. "It was like, what do I do to beat this?"
Von St James thought back to her childhood, to the days when her father, a construction worker, would come home covered in a thick greyish dust from the asbestos-containing drywall mud he sanded and cleaned up. He wore his work jacket every day, and its scent became a part of her life. Each time she breathed it in, she was unknowingly inhaling toxic asbestos fibers. "My mind was spinning and I couldn't breathe," she said. "I started to have a panic attack in that room while they were explaining what mesothelioma was. I began crying and had to leave the room. It was the hardest day of my life. I felt incredibly alone and scared."

In February 2006, doctors removed her left lung, the rib above it, the lining of her heart, and part of her diaphragm. In their place, they used surgical Gore-Tex—the same material used in waterproof clothing—to rebuild parts of her chest. The surgery was a success. Surgeons had excised the tumor with perfect margins, leaving no visible cancer behind. As a precaution, doctors infused warm drugs directly into her chest cavity, rocking her back and forth for an hour to circulate the medicine and kill any remaining cancer cells. "Patients call it the 'shake and bake,'" Von St James said. She endured four rounds of chemotherapy and 30 sessions of radiation. "People say once you survive cancer, everything should be great," she said. "But there are a lot of ongoing physical things that happen after surgeries."
Twenty years later, Von St James still lives with chronic pain from the surgery, ongoing breathing problems that make climbing a single flight of stairs exceedingly difficult, and limited movement in her left hand and shoulder that makes lifting things a challenge. While the prognosis is typically grim for mesothelioma patients, long-term survivors do exist, and Von St James is one of them, now 20 years cancer-free. Her father, however, died in 2014 from renal carcinoma, which she believes was related to his asbestos exposure. Asbestos fibers can travel from the lungs to the bloodstream and cause disease in other parts of the body.
Mesothelioma deaths among women are rising, from 489 in 1999 to 614 in 2020, according to the CDC. The culprit is often secondary exposure, including from washing a husband's dusty work clothes or hugging an asbestos-covered loved one. Von St James's story is not unique. "Doctors rarely see patients live this long after mesothelioma," she said. "They say in my case, to be here 20 years is rare. I'm frankly still shocked I'm here." Now 57, she funnels energy into advocacy, lobbying for EPA action against asbestos and pushing for a complete ban on the use and import of the deadly mineral in the US. "Giving people that hope that it can be done, that medicine can get us there, that brings so much hope to so many," she said.