Ignored Symptoms and Limited Access: Bella Bayliss's Medical Crisis
Bella Bayliss, 25, first walked into the A&E department at Gloucestershire Royal Hospital in January 2019, her body wracked with symptoms that should have raised immediate alarm.
Abdominal pain, breathlessness, and a bloating so severe it left her unable to perform basic tasks were the hallmarks of her condition.
Yet, instead of being taken seriously, she was dismissed and sent home. 'I was getting really breathless doing normal activities,' she recalled. 'I was really pale, I had constant stomach pains.
I went to hospital because I was extremely anaemic, they sent me home and blamed it on women's problems.
I knew it wasn't that.' The misdiagnosis was compounded by the severity of her symptoms.
Bella described losing her appetite entirely, her legs going numb, and experiencing tingling in her hands and feet. 'I used to work at a supermarket and I was waking up quite early in the morning and I blamed it on that,' she said.

But the truth was far more sinister.
Her body was screaming for help, and the hospital's initial response left her in limbo, her health deteriorating in silence.
Unconvinced by the doctors' dismissive attitude, Bella returned to the same hospital in November 2019, demanding answers.
This time, the medical team performed an endoscopy, a procedure that involves inserting a thin, flexible tube with a camera through the throat to examine the upper digestive system.

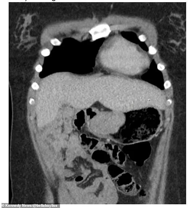
The results were shocking. 'They found a 6cm gastrointestinal tumour (GIST) in my stomach,' she said.
What the doctors had initially dismissed as 'women's problems' was, in fact, a rare and aggressive form of cancer.
GIST, or gastrointestinal stromal tumors, affects only 10-15 people per million annually, making up one to two percent of all gastrointestinal cancers.
These tumors are caused by a sarcoma, a type of cancer that typically begins in bone or soft tissue but, in Bella's case, had developed in her digestive system.
Symptoms such as feelings of fullness, abdominal pain, chest pain, and nausea—exactly what Bella had been experiencing—often go unnoticed until the disease has progressed significantly.

The discovery of the tumor was a turning point.
Bella's doctors had to remove 70 percent of her stomach to excise the cancerous mass, a decision she believes could have been avoided if her initial concerns had been taken seriously. 'If they hadn't left me for so long, I wouldn't have had to have that much of my stomach removed because the tumour got bigger within that time,' she said.
The surgery was successful, but the physical and emotional toll was immense. 'It's a very complex type of cancer,' she explained. 'What I have is so rare it doesn't react to standard chemotherapy.' The aftermath of the surgery left Bella with a significant scar, a constant reminder of her battle. 'I can't eat a lot anymore,' she said. 'I just try to have small meals throughout the day.
I get scared to have food with my friends or have a drink sometimes.' The scar, once a source of shame, has since become a symbol of her resilience. 'I have a massive scar from my surgery, it's had an impact on my confidence.
I would try and hide it for a while and now it's something I'm actually very proud of.' But the story took a devastating turn in autumn 2025.

A routine scan revealed that the cancer had returned, with two new tumors on her liver. 'I had a scan at the end of September thinking "it's just another scan,"' Bella said. 'They said they found two shadows on my liver and I just instantly knew it was that.
I had a phone call not long after saying it was my cancer and it had come back.' The news was a blow. 'At first I was shocked because after five years you think it's a part of your life you can put behind you,' she said. 'Me and my mum and dad were devastated.
This time it felt different, I think you worry when it comes back.' The recurrence has left Bella feeling overwhelmed and exhausted. 'They are currently trying to find medication that works,' she said. 'The only way to cure my cancer is surgery.' For now, she is left in limbo, waiting for the next step in a battle that has already tested her strength beyond measure.
The Gloucestershire Hospital NHS Foundation Trust, in a statement, expressed deep regret for the initial misdiagnosis and the recurrence. 'We are very sorry to hear that Miss Bayliss's cancer has returned, and we understand how distressing this must be for her and her family.
We are also sorry about the experience she had with her care in 2019 and 2020.
We are sorry that it was not detected when she was first seen and have used her experience to reinforce the importance of appropriate investigation in similar situations.'
Photos