Mother's Heartbreak as Son's Vaping Leads to Life-Threatening Lung Collapse
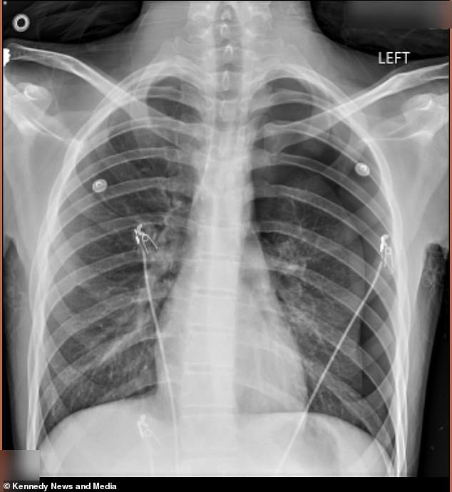
Crystal Vann, a mother from Kentucky, finds herself at the center of a harrowing story that began with her 17-year-old son, Cameron, known as Dodge, vying to fit in with his peers. Two years ago, Dodge picked up vaping as a way to 'look cool' in front of friends, a decision he kept hidden from his mother. His choices came to a painful head in September 2025 when he emerged from the school bus pale and in severe back pain, prompting Vann to rush him to the emergency room. A chest x-ray revealed a devastating truth: 50% of Dodge's left lung had collapsed, a condition known as a pneumothorax, where air accumulates in the chest cavity, compressing the lung and threatening his life.

Doctors acted swiftly, surgically inserting an 18-inch tube into his chest to remove the excess air and allow his lung to re-expand. But the ordeal was far from over. Months later, in January 2026, Dodge called his mother in a panic, breathless and in excruciating pain. 'He called me from school the second time and he said, "I'm hurting, but I don't know if it's my lung or not,"' Vann recalls. 'We went straight to the ER. [The doctors] said he could have died in the lobby.' This time, the damage was worse. His lung had collapsed again, forcing doctors to perform a more invasive procedure called pleurodesis, where they scraped the lining of his lung and stapled air-filled blisters—known as blebs—to the top of his lung to prevent future collapses. 'He went through a lot,' Vann says. 'I thought, "Why him?" I feared he was going to die.'

For Dodge, the aftermath has been agonizing. Despite quitting vaping 'cold turkey' after the second surgery, he continues to endure lingering pain in his left side, which intensifies with the slightest movement. 'After the surgery the nerves are dead,' he explains. 'Even putting on a shirt feels awful when touching it. Talking vibrates it sometimes, and it hurts so much. I get stabbing pains in my side and can't go to school.' The experience has left him haunted. 'I've had nightmares about it,' he admits. 'I'm not hitting one ever again. I'm trying to stay away from secondhand smoke and everything.'
Dodge's story is not an isolated one. In 2024, the CDC reported that 6% of U.S. adults—roughly 17 million people—regularly vape, with the highest rates among young adults aged 18 to 24, where over 15% are regular users. Among children, 1.6 million middle and high school students vape, though usage has declined since 2019. Yet the risks of vaping remain alarmingly high. Vapes produce an aerosol containing nicotine, flavorings, and toxic chemicals like formaldehyde and acetaldehyde, which can damage lung tissue and increase cancer risk. In a chilling case, doctors in 2025 documented the first confirmed instance of aggressive lung cancer directly linked to e-cigarettes in a New Jersey man, a discovery that has only deepened concerns about the long-term effects of vaping.

For Vann, the emotional toll has been devastating. 'He's so little. It hurts in his back, and he does not want to go to sleep because it hurts when he wakes up,' she says. 'He's such a kind and passionate kid with a big heart for others. Seeing him in pain is incredibly hard for me as his mom.' The experience has transformed her into a fierce advocate for banning vaping products. 'I say ban on all vapes,' she insists. 'I don't want another kid going through it. Don't do it just to be cool.'

The Vann family's struggle has sparked a GoFundMe campaign to cover Dodge's treatment costs, but for Vann, the urgency extends beyond fundraising. 'He's been so brave, but he's also scared,' she says, her voice trembling. 'He asks me if his lung might collapse again while he sleeps.' It's a question that lingers long after the hospital doors close. Why does something that begins as a simple act of rebellion—'looking cool'—lead to such profound, life-threatening consequences? And how many other teens are quietly suffering the same fate, unaware of the deadly price of their choices? The answer, for now, is still written in the scars of a 17-year-old boy who once wanted to fit in, and a mother who now fights to ensure no child has to endure what her son has.