Newly Defined Broken Heart Syndrome Mimics Heart Attacks, Study Finds
A newly defined heart condition that mimics a severe heart attack has emerged as a subject of intense scientific study, according to researchers at New York University Langone Health. Broken heart syndrome, also known as takotsubo cardiomyopathy, affects individuals with no prior history of heart disease, often striking those who appear physically and emotionally healthy. The condition, which can develop at any age but disproportionately impacts women aged 58 to 75, shares alarming symptoms with a heart attack, including chest pain, shortness of breath, and irregular heartbeats. These symptoms are so similar that initial diagnoses typically assume the worst, requiring rigorous testing to confirm the condition.
Unlike a heart attack, which is caused by blocked coronary arteries and kills 12% to 15% of patients, broken heart syndrome results from a temporary weakening of the heart muscle. This weakening is often triggered by a surge of stress hormones, such as adrenaline, following events like the death of a loved one, severe illness, or extreme emotional or physical stress. The condition is not fatal in most cases, with the majority of patients experiencing full recovery of heart function within weeks to two months. However, its prevalence remains underreported, with estimates suggesting it accounts for 1% to 2% of patients presenting with heart attack-like symptoms.

Researchers are now exploring innovative treatment approaches. A clinical trial at NYU Langone Health is set to investigate whether deep breathing exercises can aid recovery and prevent future episodes. The study aims to determine if these exercises can activate the parasympathetic nervous system, which helps the body relax and counteract the effects of stress. This focus on non-invasive, low-risk interventions highlights a growing emphasis on managing stress as a critical component of treatment.
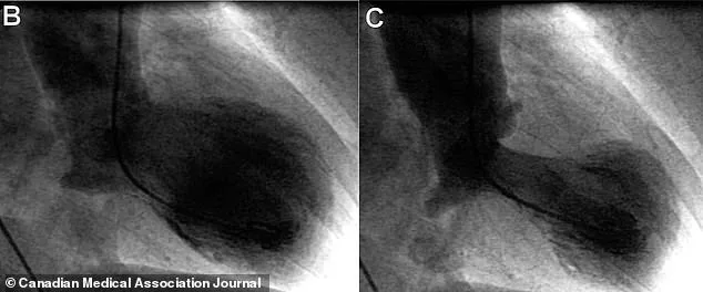
Diagnosis involves a process of elimination. Doctors first rule out a heart attack through tests like echocardiograms, which reveal the characteristic 'takotsubo' shape of the heart—its main pumping chamber balloons at the bottom while the base narrows. Cardiac catheterization, a procedure that injects dye into the coronary arteries, is used to confirm the absence of blockages. Blood tests for troponin, a protein released during heart damage, further support the diagnosis.

The exact mechanism by which stress weakens the heart is still under study. Theories suggest that adrenaline floods the heart with chemicals that temporarily paralyze muscle cells or cause the lower chambers to contract so forcefully they shut down as a protective measure. Another possibility is that the heart reduces its pumping power to conserve energy during extreme stress. Some research also points to the constriction of tiny blood vessels, briefly limiting blood flow in a way that mimics a heart attack.
Despite its name, broken heart syndrome is not limited to emotional trauma. Dr. Harmony Reynolds, a cardiologist at NYU Langone Health, notes that triggers can include financial stress, domestic violence, or even positive life events like weddings or promotions. She emphasizes that stress responses are biological, not personal failings, and that blaming oneself for developing the condition is misguided. Cumulative stress, rather than a single event, often plays a role in triggering episodes.

Treatment for the condition is not standardized and depends on symptom severity. Most patients receive heart failure medications like beta blockers, ACE inhibitors, and diuretics. Long-term use of beta blockers is often recommended to prevent recurrence by dampening the effects of adrenaline. Managing emotional and physical stress remains a cornerstone of recovery, underscoring the importance of holistic care. As scientists continue to unravel the mysteries of this condition, the focus on both medical and psychological interventions reflects a broader understanding of the intricate link between stress and heart health.
Public health experts stress the need for greater awareness of broken heart syndrome. While it is not rare, its underdiagnosis and lack of standardized treatment protocols highlight gaps in healthcare systems. Early recognition and tailored support for individuals experiencing severe stress could mitigate the condition's impact. As research progresses, the goal remains to improve outcomes for patients and reduce the risk of recurrence through innovative, evidence-based strategies.