The Heart-Wrenching Reality Behind *Call The Midwife*'s Rare Lithopedion Condition
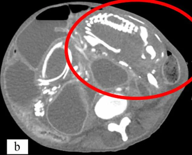
Last week's episode of *Call The Midwife* left audiences in tears with its portrayal of a rare and heart-wrenching pregnancy complication known as lithopedion—a term derived from Greek for 'stone child.' This phenomenon, while fictionalized in the 1970s-set drama, is rooted in medical reality. With only around 300 documented cases worldwide, lithopedion remains one of the rarest conditions in obstetrics. It occurs when a dead fetus, unable to be reabsorbed by the body, calcifies over time, forming a hardened mass within the abdomen. The condition is not merely a medical curiosity but a stark reminder of the fragility of human health and the critical role of timely medical intervention.
The process begins with an ectopic pregnancy, a condition where the embryo implants outside the uterus. Around 1 in 11,000 pregnancies fall into this category, and while most ectopic pregnancies occur in the fallopian tubes, some develop in the abdomen, ovaries, or even at the site of a previous C-section scar. When these pregnancies fail, the maternal body typically reabsorbs the tissue. However, if the fetus is more than 12 weeks old, its skeletal structure—which now contains bone—becomes too large to be absorbed. The immune system then encases the dead fetus in calcium, a form of biological mummification, creating a 'stone baby' that can remain in the body for decades.

Dr. Deborah Lee, a reproductive health specialist, explains that lithopedions are 'incredibly rare' due to the specific conditions required for their formation. She emphasizes that the uterus is uniquely equipped to support a pregnancy, and ectopic pregnancies—accounting for just 1% of all pregnancies—often end in miscarriage or life-threatening complications. In 90% of ectopic cases, the embryo implants in the fallopian tube, but in the remaining 10%, it can take root elsewhere in the abdomen. When these pregnancies go undetected, the risk of long-term complications rises sharply.

The consequences of lithopedion extend far beyond the physical. Cases where the condition goes unnoticed for years often result in severe symptoms, including chronic abdominal pain, gastrointestinal issues, or even pelvic infections. In extreme cases, the mass can compress vital organs, leading to malnutrition, intestinal blockages, or cardiac arrhythmias. One tragic example involved a 50-year-old woman from the Congo who carried a lithopedion for nearly nine years before her death in 2023. Misdiagnosed and believing her condition to be a curse, she refused treatment until her body could no longer sustain her.

Socio-economic factors also play a critical role in the prevalence of lithopedion. Dr. Lee notes that women in lower-income communities, often with limited access to prenatal care and health education, are more likely to experience undetected ectopic pregnancies. Cultural or religious beliefs may further delay medical intervention, compounding the risk. In 2023, a Brazilian woman died after a scan revealed a lithopedion she had carried for 56 years, a discovery that only came after she sought help for chronic stomach pain. These cases underscore the importance of equitable healthcare access and the need for public health initiatives that prioritize early pregnancy detection.

Modern medical advancements have significantly reduced the likelihood of lithopedion, thanks to improved prenatal imaging and protocols for managing pregnancies of unknown location (PUL). When a pregnancy test is positive but the fetus cannot be located, medical professionals follow strict guidelines, including repeated blood tests for B-HCG levels and follow-up ultrasounds. If an ectopic pregnancy is detected, treatment options range from medication to surgery. Dr. Lee stresses that adherence to medical advice is 'vital' for women with positive pregnancy tests, as early intervention can prevent life-altering complications.
The story of lithopedion is not just one of medical rarity but of systemic challenges in healthcare. While the condition is exceedingly uncommon, it highlights the broader issues of prenatal care access, health literacy, and the human cost of delayed diagnosis. As Dr. Lee notes, 'Health professionals are trained to identify these risks, but only when patients have the means and knowledge to seek care.' In an ideal world, no woman would ever experience the pain of a 'stone baby'—but until healthcare systems ensure universal access to prenatal care, such tragedies will continue to occur.