Urgent Alert: Three Separate Tuberculosis Cases in Maine's Greater Portland Area Prompt Health Officials to Act – WHO Highlights Disease's Deadliness
Fears are being raised in Maine after three individuals in the state tested positive for tuberculosis, a disease the World Health Organization (WHO) has long recognized as the deadliest in the world.
The three patients, diagnosed with active tuberculosis, were found to have no connection to one another, suggesting each was infected through separate sources.
Officials confirmed that the cases are concentrated in the Greater Portland area, prompting immediate efforts to trace and isolate close contacts to prevent further spread.
This development has reignited concerns about the resurgence of a disease once considered a relic of the past, especially as the United States reports a troubling rise in tuberculosis cases.
The U.S.
Centers for Disease Control and Prevention (CDC) recorded 10,347 tuberculosis infections in 2024, marking an 8% increase from the previous year and the highest number since 2011, when 10,471 cases were reported.
This upward trend has alarmed public health experts, who note that tuberculosis remains a global health crisis, claiming approximately 1.25 million lives annually—primarily in low- and middle-income countries.
In the United States, however, the disease has been largely contained, with annual deaths now hovering around 550, a stark contrast to the 16,000 fatalities recorded in the 1950s.
The decline in U.S. mortality rates is attributed to advancements in medical treatment, vaccination programs, and public health interventions.
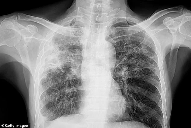
Tuberculosis, which primarily affects the lungs, is caused by the bacterium *Mycobacterium tuberculosis* and spreads through the air when an infected person coughs, sneezes, or speaks.
If left untreated, the disease can be fatal, with a fatality rate as high as 50% for unvaccinated or untreated patients—far exceeding the mortality rates of diseases like measles (10%) or Legionnaires’ disease (around 10%).
In contrast, the fatality rate for COVID-19 is less than 1%, underscoring the severity of tuberculosis as a public health threat.
Despite modern medical advancements, the disease still poses a risk, particularly in vulnerable populations such as the immunocompromised, the homeless, and those living in overcrowded conditions.

Historically, tuberculosis was a death sentence in the 18th and 19th centuries, when it was dubbed the "white plague" for its devastating impact on populations.
The advent of antibiotics in the mid-20th century transformed tuberculosis from a fatal illness into a treatable condition, though the disease never disappeared entirely.
Today, the CDC emphasizes that most U.S. cases are linked to immigration or travel, with the majority of patients hailing from countries where tuberculosis remains endemic.
This dynamic has prompted ongoing debates about the balance between public health safeguards and individual rights, particularly in communities with high rates of migration.
In Maine, state officials have emphasized that the risk to the general public from the recent cases is low, but they have urged residents to remain vigilant.
The Maine CDC issued advisories highlighting the symptoms of active tuberculosis, including a persistent cough lasting more than three weeks, unexplained weight loss, fever, and night sweats.
Public health officials are working closely with local hospitals and clinics to ensure rapid identification and treatment of potential cases.
While the three confirmed patients in Portland are being monitored, no further details about their identities, ages, or exact locations have been disclosed, a standard precaution to protect patient privacy and prevent stigmatization.
The emergence of these cases in Maine has sparked discussions about the broader implications for U.S. public health.
Experts warn that complacency could lead to a resurgence of tuberculosis, especially as global travel and migration continue to increase.
The WHO and CDC have both reiterated the importance of early detection, isolation protocols, and adherence to treatment regimens to prevent the disease from spreading.
For now, the focus remains on containing the three local cases and ensuring that the community is informed and prepared.
As public health officials work to mitigate the risk, the story of tuberculosis in Maine serves as a reminder of the delicate balance between modern medicine and the persistent challenges of infectious disease control.

Dr.
Dora Anne Mills, chief health improvement officer for MaineHealth, has emphasized that tuberculosis (TB) transmission requires 'close, prolonged contact' with an infectious individual, a clarification aimed at alleviating public fears.
Speaking to the Portland Press Herald, she underscored that the vast majority of people have no cause for concern, as the disease is not spread through casual interactions such as shaking hands or sharing a towel.
This distinction is critical, as it places TB in a category far less contagious than influenza or COVID-19, two diseases that have dominated public health discourse in recent years.
The health official’s remarks come amid rising TB cases in the United States, which have now reached their highest levels since 2011, according to national health data.
The identities and ages of the individuals diagnosed with TB in Maine remain undisclosed, though medical professionals have shared details about the disease’s progression.
For a healthy person living in the same household as an infectious individual, it can take days for the disease to take hold.
This timeline contrasts sharply with the rapid spread of respiratory viruses, highlighting the unique nature of TB transmission.
Online speculation had linked the cases to a local shelter for asylum seekers, but state officials have explicitly denied any connection, stating there is no evidence to support such claims.
The lack of an outbreak—defined as more cases than expected in a specific location or population—further reinforces the idea that the situation is under control, though not without vigilance.
Maine has reported 28 cases of TB so far this year, a number just 11 cases below the 39 recorded in 2024.
This figure marks a slight increase from 26 cases in 2023, though it remains unclear whether 2024 will set a new record for TB infections in the state.
The rising numbers, while not alarming on a national scale, have prompted renewed attention to the disease’s impact on vulnerable populations.
Children, older adults, and individuals with compromised immune systems are particularly at risk, as their bodies are less equipped to fight off the infection.

This demographic focus underscores the need for targeted public health interventions and increased awareness among at-risk groups.
The symptoms of TB can be insidious in their early stages, often manifesting as a persistent, unexplained cough that may be accompanied by coughing up blood or chest pain.
As the disease progresses, patients may experience unexplained weight loss, loss of appetite, fever, and night sweats—symptoms that can be easily mistaken for other illnesses.
In later stages, the infection can lead to severe breathing difficulties, extensive lung damage, and even the spread of the disease to other organs such as the liver or spine, causing localized pain.
Without timely treatment, TB can be fatal, as patients may succumb to respiratory failure or organ damage that prevents the body from adequately oxygenating the blood.
Despite these challenges, medical science has made significant strides in combating TB.
Doctors can treat the disease with a course of antibiotics, which, when administered correctly, can eliminate the infection and prevent its spread.
Additionally, the BCG vaccine—a shot that leaves a small circular scar on the arm—can provide protection against TB.
However, this vaccine is not routinely administered in the United States, as the disease is relatively uncommon in the country.
Instead, it is available on a case-by-case basis for children, with the scar serving as a visible marker of the vaccine’s effectiveness.
Adults may also receive the BCG vaccine, though its efficacy is reduced in this group, and it can sometimes lead to false-positive results in TB screening tests.
In contrast, many developing countries administer the vaccine to children under the age of 16, where TB remains a significant public health threat.