Urgent Warning: Visible Aging Signs Linked to 60% Higher Dementia Risk, Study Finds
A growing body of research suggests that visible signs of aging, such as wrinkles and crow’s feet, may serve as early warning signals for cognitive decline and dementia.
A study conducted by researchers in China has found that individuals who appear older than their chronological age face a significantly elevated risk of developing dementia over a 12-year period.
This risk, which exceeds 60 percent, persists even after accounting for traditional factors such as overall health, lifestyle choices, and genetic predispositions.
The findings, published in a recent report, highlight a potential link between external aging markers and internal biological processes that may contribute to neurodegenerative diseases.
The research team conducted two distinct investigations to explore this connection.
The first study, involving over 195,000 participants aged 60 and older from the UK Biobank Study, relied on self-reported data about how others perceived the participants’ age.
Those who described themselves as appearing older than their actual age were found to have a 61 percent higher risk of dementia compared to individuals who reported looking younger.
This correlation remained robust across various demographic and health-related variables, suggesting a broader systemic relationship between aging and cognitive health.
The second study focused on the specific appearance of crow’s feet—wrinkles around the eyes—as a potential biomarker.
Researchers discovered that individuals with the most pronounced crow’s feet had over double the likelihood of experiencing measurable cognitive impairment compared to those with minimal signs of these wrinkles.
This finding adds to the growing evidence that facial aging may reflect underlying biological vulnerabilities, particularly those related to oxidative stress, inflammation, and systemic repair mechanisms.
Scientists propose that the connection between facial aging and dementia risk may be explained by what they term “common pathogenic mechanisms.” These mechanisms suggest that the visible signs of aging on the face act as a proxy for the body’s internal biological age.

In other words, the skin’s condition may provide a window into the health of organs and tissues throughout the body, including the brain.
This theory is supported by the observation that sun damage, a known contributor to premature aging of the skin, also generates systemic oxidative stress and inflammation—processes that are similarly implicated in the progression of brain diseases like Alzheimer’s.
The study’s authors emphasize that the relationship between perceived aging and dementia risk is not uniform across all populations.
The correlation was most pronounced in three specific groups: individuals with obesity, those who spent significant time outdoors during the summer, and people with a higher genetic risk for Alzheimer’s disease.
These findings suggest that environmental and genetic factors may interact with aging markers to influence cognitive health outcomes.
Notably, the increased risk was observed across multiple types of dementia, with vascular dementia showing a 55 percent higher risk and unspecified dementia demonstrating a 74 percent increased risk.
The implications of these findings are significant for public health and early intervention strategies.
The researchers conclude that facial age—both as perceived by others and as objectively measured—could serve as a practical tool for identifying individuals at risk of cognitive decline.
By integrating these visual indicators into screening protocols, healthcare providers may be able to detect early signs of dementia and initiate interventions before symptoms become severe.
This approach aligns with broader efforts to leverage non-invasive biomarkers for the early detection of complex diseases, ultimately improving patient outcomes and reducing the societal burden of neurodegenerative conditions.
While the study underscores the importance of monitoring visible aging signs, it also highlights the need for further research to clarify the biological pathways linking facial aging to brain health.
Experts caution that these findings should not be interpreted as deterministic but rather as part of a larger picture that includes genetic, environmental, and lifestyle factors.

As such, they advocate for a holistic approach to aging and dementia prevention, combining visual assessments with traditional medical evaluations and lifestyle modifications to promote long-term cognitive well-being.
Jana Nelson's life took a dramatic turn at age 50 when she was diagnosed with early-onset dementia.
The condition manifested through profound personality shifts and a rapid decline in cognitive function, leaving her unable to perform basic tasks such as solving simple math problems or identifying common colors.
Her story underscores the growing concern over dementia in younger populations, a phenomenon that challenges traditional assumptions about the disease's age-related onset.
A recent study has revealed a striking correlation between perceived age and the risk of cognitive impairment.
The research found that individuals who appear older than their actual chronological age are more likely to experience dementia and related neurological decline, regardless of their sex, educational background, or other health factors.
This connection suggests that external appearances may serve as a visible indicator of internal biological processes that contribute to cognitive deterioration.
The study's findings were further supported by behavioral and health data.
Participants who were perceived as older by others exhibited higher rates of smoking, physical inactivity, and depressive symptoms compared to those who felt they looked younger.
These factors, combined with other health conditions, may contribute to the accelerated aging observed on their faces and the increased risk of cognitive decline.

To assess the relationship between perceived age and cognitive function, researchers administered a series of tests.
Those who reported looking older consistently performed worse on measures of processing speed, executive function, and reaction time.
These results highlight the potential of facial aging as a non-invasive biomarker for early detection of cognitive impairment.
A separate study involving approximately 600 older adults in China provided additional insights.
Researchers showed photographs of participants to a panel of 50 independent assessors, who were asked to estimate each person's age.
The analysis revealed that for every additional year a person was judged to look older than their actual age, their risk of measurable cognitive impairment increased by 10 percent.
This finding reinforces the link between perceived age and cognitive health.
To further investigate the connection, the researchers used specialized imaging techniques to objectively measure facial wrinkles.
They focused on crow's feet around the eyes, finding that the total number and contrast of these wrinkles showed the strongest association with cognitive impairment.
Other facial features, such as cheek wrinkles and skin hydration levels, did not demonstrate as significant a link.
The study's authors suggest that the aging process is not confined to the brain but is part of a broader systemic decline.
Chronic inflammation, a common driver of many age-related diseases, plays a central role in the progression of dementia.
This inflammation contributes to neuronal damage, accelerates brain aging, and is linked to a range of health conditions, including cardiovascular disease, diabetes, and cancer.

Facial aging, therefore, may serve as a visible sign of this underlying inflammatory process.
The study's findings emphasize the importance of holistic health management, as factors that contribute to visible aging—such as poor diet, lack of exercise, and chronic stress—may also exacerbate the risk of cognitive decline.
These insights could inform public health strategies aimed at reducing dementia risk through lifestyle interventions and early detection methods.
Rebecca Luna's experience with early-onset Alzheimer's further illustrates the devastating impact of cognitive impairment.
Diagnosed in her late 40s, she faced challenges such as sudden memory lapses, disorientation, and difficulty managing daily tasks.
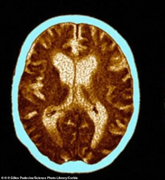
Brain imaging revealed significant atrophy, particularly in regions critical for memory and executive function, underscoring the irreversible damage caused by the disease.
The interplay between visible aging and cognitive health presents a compelling area for future research.
By understanding the mechanisms that link facial aging to systemic health, scientists may develop more effective ways to monitor and mitigate the risk of dementia.
This knowledge could ultimately lead to better prevention strategies and improved quality of life for those at risk.
As the global population ages, the need for innovative approaches to dementia prevention and treatment becomes increasingly urgent.
The study's findings offer a new perspective on the relationship between appearance and health, highlighting the importance of addressing both visible and invisible signs of aging in the pursuit of cognitive well-being.